RECOMENDACIONES SOBRE TRIQUINOSIS

La Dirección de Inspección General recuerda una serie de consideraciones a tener en cuenta ante la realización de faenas de cerdos para la elaboración de chacinados secos.

· Se debe remitir a su veterinario de confianza muestras de diafragma (entraña), intercostales, masetero (quijada) y base de la lengua. Siendo estos cortes de un tamaño mayor a 10 cms. cada uno. El resultado negativo de estos análisis no lo autoriza a la comercialización de los productos, aunque cuente con el certificado, siendo solamente para consumo propio y de sus allegados.

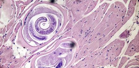
· Deberá realizar el análisis de todos los cerdos faenados, recordar que los cerdos jabalí deben ser también analizados ya que son portadores del parásito causal de la triquinosis

· Los primeros síntomas de triquinosis son: fiebre, diarrea, vómitos y dolor abdominal, continuando con dolores musculares e hinchazón de párpados. Recordar que la triquinosis es una enfermedad crónica y que una vez contraída deberá convivir por el resto de su vida con ella, además puede causar la muerte.

· Recordar que al comprar chacinados secos (chorizos secos, bondiola, jamón, etc.), estos deben presentar su correspondiente rótulo individual proveniente de un establecimiento habilitado y no en lugares informales en los que no se puede demostrar la inocuidad y la trazabilidad del producto adquirido.

- La prevención también debe trasladarse hasta los hogares: es importante cocinar correctamente la carne hasta que su interior pierda el color rosado, a fin de prevenir la transmisión de la enfermedad.

- Además, debe tenerse en cuenta que la salazón, el ahumado y la cocción en microondas no matan al parásito que produce la triquinosis.

- Tomar conciencia sobre la importancia de prevenir la triquinosis permitirá modificar ciertas prácticas culturales en el consumo de alimentos, promover una alimentación responsable, evitar riesgos y consumir alimentos seguros.

- Si presenta algunos de los síntomas mencionados y consumió recientemente carne o subproductos derivados de cerdo o animales silvestres, concurra rápidamente al Hospital.

Comentarios

Comentar artículo